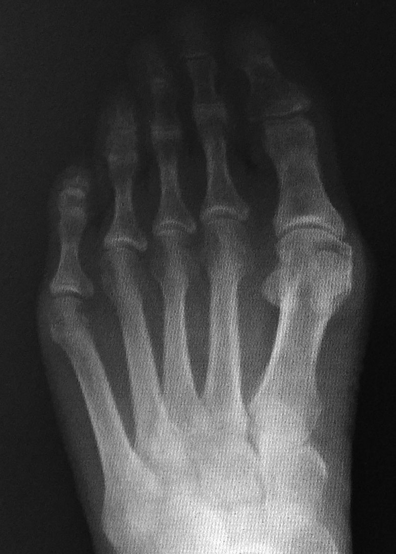
Hallux valgus

Bunions

What is it?

The outwards drift of the great toe, associated with the formation of a bony lump on the inside of the great toe joint.

Non-surgical options

This would include trying wider shoes and possibly using an insole if you are also getting pain under the ball of the foot. There are also other orthotics which can protect the bunion.

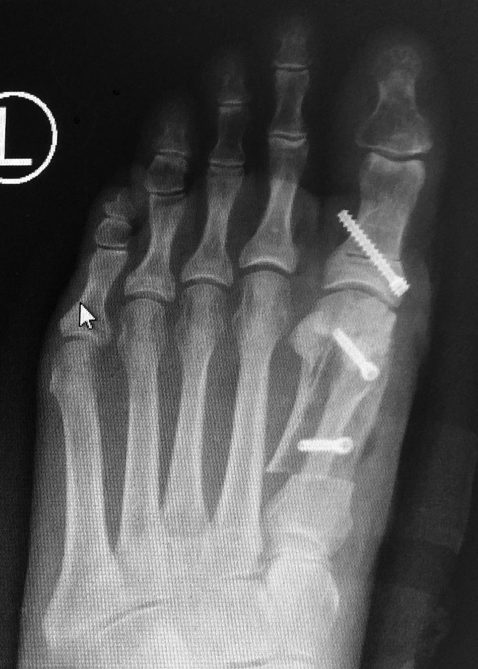
Surgical options

Scarf and Akin Procedure.

Cots are made in the bone, and screws are used to keep the realigned bones in place whilst the bones heal in the correct position.

Risks of surgery

All surgical procedures carry some risk. These risks are usually rare, but can include infection, bleeding, damage to surrounding structures such as tendons or nerves, numbness, dysfunction of foot, ongoing pain, unsightly scar, painful scar, wound healing problems, swelling. There is also a risk that the procedure does not work fully and that the patient is left with some ongoing symptoms.

There are also some medical risks to surgery such as a clot in the leg (DVT), clot in the lung (pulmonary embolus or PE). The general anaesthetic has rare risks of problems such as heart attack, stroke, chest infection and in extremely rare circumstances, death.

Recurrence of bunion, metalwork problems, fracture of first metatarsal.

What to expect after surgery

  • This will be done as a day case procedure under a general anaesthetic.
  • A local anaesthetic block is used around the ankle to decrease post-operative discomfort.
  • The patient is discharged home from hospital on the day of the operation with painkillers to use as necessary.
  • The patient must keep their foot up above the level of the groin for 23 hours every day for two weeks. This minimises swelling, decreases discomfort and reduces the risk of wound complications and infection.
  • The patient is able to weight bear in a special shoe from day one to move around the house.

Expected recovery milestones

  • At two weeks you will be seen for a wound check; if the wound is healed you will be able to do more walking around but will be quite uncomfortable until six weeks post-operatively when you will be seen again.
  • At the six week appointment an x-ray will be taken to check on the healing of the bone.
  • Between six weeks and three months you should expect to return to work and normal activities. I would expect to discharge you from further follow-up after three months.
  • Between three months and one year there will still be some swelling and minor discomfort.